वरिष्ठ संवाददाता लखनऊ। आधुनिक तकनीकी से अब दांतों को लगाना आसान हो गया है। वहीं अब उन मरीजों को भी दांत लगाना संभव होगा, जिनके जबड़े ही हड्डियां नहीं होती हैं।
यह जानकारी इंडियन डेंटल एसोसिएशन के डेंटल शो में विशेषज्ञों ने दी। मुंबई से आए डॉ. शिशिर सिंह ने बताया कि टेढ़े-मेढ़े दांतों को सीधा करने के लिए अब तार नहीं लगाना पड़ रहा है। नजर न आने वाली पतली शीट के माध्यम से दांतों को सीधा किया जा सकता है। इनको एलाइनर बोला जाता है। खाना खाते समय और ब्रश करते समय इसको निकाला भी जा सकता है। उन्होंने बताया कि नकली दांत लगाने के लिए उनकी माप बेहद जरूरी है। परंपरागत तौर पर विभिन्न पदार्थों से तैयार शीट को मुंह में रखकर इसकी माप ली जाती है। इस प्रक्रिया में काफी दिन तक मुंह खराब रहता है। काफी लोगों को इस प्रक्रिया में उल्टी महसूस होती है। इसके बावजूद माप उतनी सटीक नहीं हो पाती है। डिजिटल स्कैनर के रूप में अब इसका विकल्प आ गया है। इस विकल्प की वजह से स्कैन के माध्यम से दांतों की सही माप ली जा सकती है। इससे दांत ज्यादा सटीक और अन्य दांतों के समान नजर आते हैं।
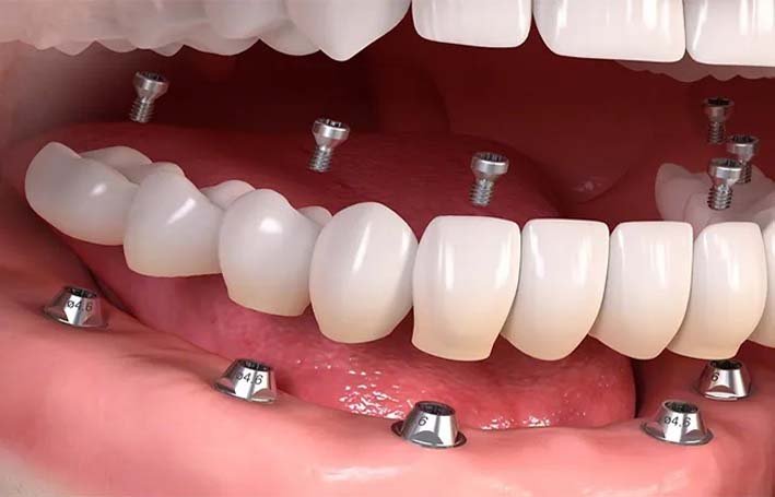
डॉ. दिव्य मेहरोत्रा ने बताया कि अब उन मरीजों को भी दांत लगाना संभव है जिनके जबड़े ही हड्डियां नहीं होती हैं। असल में दांतों को इन्हीं हड्डियों परबिठाया जाता है। हड्डी न होने से दांत को बिठाना संभव नहीं है। अब कुछ इंप्लांट लगाकर दांत लगाए जा सकते हैं। दुर्घटना होने या फिर ब्लैक फंगस के मामले में ऐसी स्थिति आ सकती है। उन मामलों में यह तकनीक कारगर होगी। डॉ. विजय मोहन के अनुसार भारत में नकली दांत लगाने की परंपरा काफी लंबे समय से है। ऋग्वेद काल की मूर्तियों में इसके प्रमाण मिले हैं। उन्होंने बताया कि आॅल आॅन सिक्स नाम की तकनीक के माध्यम से सारे दांत लगाना संभव हो पाता है।
उन्होंने बताया कि सीबीसीटी तकनीक इंप्लांट लगाने के लिए बेहद जरूरी है। इससे जबड़ों का सीटी स्कैन किया जाता है। इंप्लांट लगाने में इस तकनीक की वजह से आकार और सटीकता की समस्या नहीं होती है।





